Rufen Sie uns jetzt an: +86-17712862105
  • arAR
  • en_USEN
  • fr_FRFR
  • de_DEDE
  • it_ITIT
  • pt_PTPT
  • ru_RURU
  • es_ESES

AMIS MEDICAL

  • Heim
  • Produkte
    • Diagnoseprodukte
      • Schwarz-Weiß-Ultraschall
      • Farbdoppler
      • Defibrillator
      • EKG-Gerät
      • Patientenmonitor
      • Kabellose Ultraschallsonde
    • Krankenhausprodukte
      • Baby-Inkubator
      • BMI-Analysator
      • Zahnarztstuhl
      • Destilliergerät
      • HNO-Abteilung
      • Medizinische Kryogeräte
      • Krankenpflegepuppen-Simulatormodelle für Fertigkeitstraining
      • Patientenbett
      • Sterilisator
      • Rollstuhl
      • Röntgeneinheit
    • Laborprodukte
      • Biochemie-Analysator
      • Zentrifuge
      • Fluoreszenz-Immunquantitativer Analysator
      • Hämatologie-Analysator
      • Pathologieprodukte
    • ODER Produkte
      • Anästhesie und Beatmung
      • Elektrochirurgiegerät
      • Hochdruckspritze
      • OT-Lampe
      • OT-Tisch
      • Orthopädische chirurgische Instrumente
      • Spritzenpumpe und Infusionspumpe
    • Medizinische Einwegprodukte
    • Heimprodukte
  • Über uns
    • Geschichte
    • Zertifikate
    • Qualitätskontrolle
  • Lösung
  • Dienstleistungen
    • Qualitätsrichtlinie
    • FAQ
  • Blogs & Nachrichten
  • Kontaktiere uns
FREI ZITAT
  • Heim
  • Produktkenntnisse
  • So interpretieren Sie ein normales Röntgenbild des Brustkorbs: Ein Leitfaden für Anfänger

So interpretieren Sie ein normales Röntgenbild des Brustkorbs: Ein Leitfaden für Anfänger

Normales Röntgenbild des Brustkorbs 1
Sonntag, 12. Januar 2025 / Veröffentlicht in Produktkenntnisse

So interpretieren Sie ein normales Röntgenbild des Brustkorbs: Ein Leitfaden für Anfänger

So interpretieren Sie ein normales Röntgenbild des Brustkorbs: Ein Leitfaden für Anfänger


Warum es wichtig ist, ein normales Röntgenbild des Brustkorbs zu verstehen

Schwierigkeiten bei der Interpretation eines normales Röntgenbild des Brustkorbs? Sie sind nicht allein. Fehlinterpretationen können zu unnötiger Sorge oder Fehldiagnosen führen. Dieser Leitfaden vereinfacht den Prozess und bietet klare Schritte zum Identifizieren der wichtigsten Merkmale einer normalen Röntgenaufnahme, damit Sie Vertrauen in dieses wichtige Diagnoseinstrument gewinnen.

Normales Röntgenbild des Brustkorbs 1


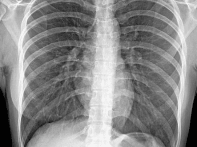
Was ist ein Normales Röntgenbild des Brustkorbs?

A normales Röntgenbild des Brustkorbs zeigt klare Lungen, definierte Herzränder und ein sichtbares Zwerchfell ohne Anomalien. Das Erkennen dieser Merkmale ist wichtig, um Erkrankungen wie Lungenentzündung, Herzversagen und Lungenerkrankungen auszuschließen und gleichzeitig eine genaue Diagnose zu ermöglichen.


Warum sollte man lernen, Röntgenaufnahmen der Brust zu interpretieren?

Ärzte und medizinisches Fachpersonal verlassen sich häufig auf Röntgenaufnahmen der Brust, um wichtige Erkenntnisse zu gewinnen. Lernen Sie, ein Röntgenaufnahme des Brustkorbs kann dabei helfen, genaue Diagnosen sicherzustellen, Fehler zu minimieren und durch die frühzeitige Erkennung potenzieller Erkrankungen sogar Leben zu retten.


Wie sieht eine normale Röntgenaufnahme des Brustkorbs aus? Erläuterung der wichtigsten Merkmale

Klarheit bei der Visualisierung der normalen Anatomie

Es kann entmutigend sein, zum ersten Mal eine Röntgenaufnahme des Brustkorbs zu sehen. Der Schlüssel liegt darin, die üblichen Indikatoren für eine normale Anatomie zu verstehen.

Definition einer normalen Röntgenaufnahme des Brustkorbs

A Röntgenaufnahme des Brustkorbs zeichnet sich durch symmetrische Lungen ohne Infiltrate oder Massen, klare Herzkonturen, ein scharfes Zwerchfell und sichtbare Rippen aus. Diese Indikatoren bestätigen das Fehlen von Pathologien.

Detaillierte Erklärung:

  • Lunge: Sollte klar erscheinen, ohne undurchsichtige Flecken oder ungewöhnliche Flüssigkeit.
  • Herzränder: Gut definiert, ohne Vergrößerung oder Unregelmäßigkeiten.
  • Membran: Mit scharfen Rändern sichtbar, was darauf hinweist, dass kein Pleuraerguss vorliegt.
  • Knochen: Rippen und Wirbelsäule sollten intakt erscheinen und keine Brüche oder Deformationen aufweisen.

Warum ist eine normale Röntgenaufnahme des Brustkorbs für die Diagnose wichtig?

Die Rolle des Normalen beim Auffinden des Abnormalen

A Röntgenaufnahme des Brustkorbs ist der Maßstab, an dem Anomalien gemessen werden, und bietet unschätzbar wertvolle diagnostische Klarheit.

Diagnostische Bedeutung

Durch den Vergleich einer Röntgenaufnahme mit einer normalen Standardaufnahme können Ärzte Lungenentzündungen, Tumore oder sogar Herzprobleme im Frühstadium erkennen und eine rechtzeitige Behandlung sicherstellen.

Detaillierte Einblicke:

  • Eine Basislinie Röntgenaufnahme des Brustkorbs hilft, schwere Erkrankungen auszuschließen.
  • Es bietet einen Referenzpunkt, der es Ärzten ermöglicht, Veränderungen in Lunge und Herz zu verfolgen.
  • Normale Befunde helfen bei Bedarf dabei, weitere Diagnosetests wie CT-Scans oder MRTs durchzuführen.

Wo können Sie eine normale Röntgenaufnahme der Brust durchführen lassen? Top-Einrichtungen in Ihrer Nähe

Normales Röntgenbild des Brustkorbs 2

Die Wahl der richtigen Einrichtung ist wichtig

Präzise Ergebnisse hängen von einer hohen Bildqualität und einer professionellen Interpretation ab.

Unterabschnitt des Snippet-Absatzes: Suche nach zuverlässigen Röntgeneinrichtungen

Krankenhäuser, Diagnosekliniken und spezialisierte Bildgebungszentren sind ideal für die Erlangung einer normales Röntgenbild des Brustkorbs, um genaue und zuverlässige Ergebnisse zu gewährleisten.

Expertentipps:

  • Suchen Sie nach akkreditierten Einrichtungen mit zertifizierten Radiologen.
  • Stellen Sie sicher, dass die Klinik digitale Bildgebung für klarere Ergebnisse bereitstellt.
  • Überprüfen Sie die Bearbeitungszeit für Berichte, insbesondere wenn diese dringend benötigt werden.

Welche Erkrankungen können mit einer normalen Röntgenaufnahme des Brustkorbs ausgeschlossen werden?

Die Macht der Ausgrenzung bei der Diagnose

A Röntgenaufnahme des Brustkorbs spielt eine entscheidende Rolle beim Ausschluss schwerwiegender gesundheitlicher Bedenken.

Durch eine Röntgenaufnahme des Brustkorbs ausgeschlossene Erkrankungen

Erkrankungen wie Lungenentzündung, Pleuraerguss und Lungentumoren sind unwahrscheinlich, wenn die Röntgenaufnahme des Brustkorbs normal erscheint.

Wichtige Ausschlüsse:

  • Lungenerkrankungen: Lungenentzündung, chronisch obstruktive Lungenerkrankung (COPD) und Lungenkrebs.
  • Herzprobleme: Kongestive Herzinsuffizienz (ohne sichtbare Vergrößerung).
  • Infektionen: Tuberkulose oder Pilzinfektionen.

Warum verlangen Ärzte vor einer Operation eine normale Röntgenaufnahme des Brustkorbs?

Beurteilung chirurgischer Risiken mit Röntgenstrahlen

Durch präoperative Röntgenaufnahmen des Brustkorbs wird sichergestellt, dass die Patienten für die Narkose geeignet sind, und es werden versteckte Risiken erkannt.

Chirurgische Vorbereitung

A Röntgenaufnahme des Brustkorbs bestätigt die Lungenfunktion und schließt alle zugrunde liegenden Probleme aus, die den Eingriff erschweren könnten.

Weitere Einblicke:

  • Identifiziert alle unbekannten Atemwegsprobleme.
  • Stellt sicher, dass keine Herzvergrößerung auftritt, die das Narkoserisiko erhöhen könnte.

Wie können Sie feststellen, ob Ihr Röntgenbild des Brustkorbs normal ist? Wichtige Tipps

Einfache Schritte zur Beurteilung der Normalität

Wenn Sie lernen, wichtige Indikatoren zu erkennen, können Sie Ihre Röntgenaufnahme des Brustkorbs leichter beurteilen.

Wichtige Anzeichen der Normalität

Klare Lungen, symmetrische Strukturen und definierte Herzgrenzen sind Kennzeichen eines Röntgenaufnahme des Brustkorbs.

Tipps zur Selbsteinschätzung:

  • Vergleichen Sie mit standardisierten Röntgenbeispielen.
  • Achten Sie auf Symmetrie in Rippen und Lunge.
  • Stellen Sie sicher, dass keine abnormale Dichte oder falsch platzierte Schatten vorhanden sind.

Welche Techniken werden verwendet, um einen normalen Röntgen-Thoraxbefund zu bestätigen?

Präzision in der Diagnose

Moderne Techniken gewährleisten die Genauigkeit der Interpretation von Röntgenbildern des Brustkorbs.

Sicherstellung der Diagnosegenauigkeit

Radiologen verwenden hochauflösende Bilder, Vergleiche mit früheren Röntgenaufnahmen und KI-Tools, um eine Röntgenaufnahme des Brustkorbs.

Verwendete Techniken:

  • Doppelte Messungen durch Radiologen zur Minimierung von Fehlern.
  • Fortschrittliche Software für verbesserte Bildgebung.
  • Standardisierte Richtlinien für eine einheitliche Interpretation.

Normales Röntgenbild des Brustkorbs 3

Warum ein Normales Röntgenbild des Brustkorbs Ist lebenswichtig

Interpretieren eines normales Röntgenbild des Brustkorbs ist eine grundlegende Fähigkeit in der medizinischen Diagnostik. Durch das Verständnis ihrer Merkmale und ihres diagnostischen Werts können medizinisches Fachpersonal und Patienten bessere Ergebnisse erzielen, unnötige Eingriffe vermeiden und Anomalien zum richtigen Zeitpunkt erkennen.

Was Sie als nächstes lesen können

Chinesische medizinische Geräte
6 Gründe, warum chinesische Medizinprodukte weltweite Aufmerksamkeit erregen
Beatmungsgerät, Atemgerät
5 Gründe, warum Beatmungsgeräte die Atemtherapie revolutionieren
Händler für medizinische Geräte 2
Warum ist die Partnerschaft mit einem vertrauenswürdigen Händler für medizinische Geräte wichtig?
de_DE German
de_DE German en_US English ar Arabic fr_FR French it_IT Italian pt_PT Portuguese ru_RU Russian es_ES Spanish

Kategorien

  • Nachricht
  • Produktkenntnisse

kürzliche Posts

  • AMES 400 Paraffin-Spender

    Was ist ein Paraffin-Dispenser für die Histopathologie und wie funktioniert er?

    Was ist ein Histopathologie-Paraffin-Dispenser und...
  • AMES 600 Gewebeeinbettsystem 3

    Was ist ein Gewebeeinbettungssystem für die Histopathologie und warum ist es in modernen Labors unerlässlich?

    Was ist ein Histopathologie-Gewebeeinbettungs-System...
  • LTP 400 Doppelkorb-Tissueprozessor 1

    Was ist ein Doppelkorb-Gewebeprozessor und wie verbessert er die Arbeitsabläufe in der Histologie?

    Was ist ein Double Basket Tissue Processor und wie...
  • AM 569 Spin-Gewebeprozessor Vakuum

    Warum sollten Sie sich für den AM-569 Spin Tissue Processor Vacuum und nicht für herkömmliche Modelle entscheiden?

    Warum sollten Sie sich für den AM-569 Spin Tissue Pr...
  • ATP 200-Gewebeprozessor 100 Kassetten

    Welche Laboranwendungen profitieren am meisten von dem ATP-200 Gewebeprozessor mit 100 Kassetten?

    Welche Laboranwendungen profitieren am meisten von der AT...
Produkte Tel WhatsApp Kontakt

AMISLOGO-B2

AMIS war schon immer an verschiedenen Krankenhausgeräten, chirurgischen Produkten und Einwegprodukten beteiligt. Unser Unternehmen achtet nicht nur auf die Produktqualität, sondern auch auf die Unternehmenskultur und den Teamzusammenhalt. Hier können Sie One-Stop-Shopping-Services und umfassende professionelle Dienstleistungen genießen.

AMIS MEDICAL

  • Heim
  • Über uns
  • Produkte
  • Dienstleistungen
  • Blogs & Nachrichten
  • Kontaktiere uns

KONTAKTIERE UNS

Tel.: +86-25-84823599

WhatsApp: +86-13913952015

Wechat: +86-17712862105

Email: sales@amismed.com

 

  • SOZIALE NETZWERKE

© Copyright Nanjing AMIS Medical Technology Co., Ltd.                                                                                    Impressum | Cookie-Richtlinie

ERHALTEN EIN KOSTENLOSES ANGEBOT

Bitte füllen Sie dieses Formular aus und wir werden uns so schnell wie möglich bei Ihnen melden!

OBEN

WhatsApp uns